コーヌス義歯により大臼歯部を補綴したケース
インプラントではなく可撤式のコーヌス義歯で修復した経過

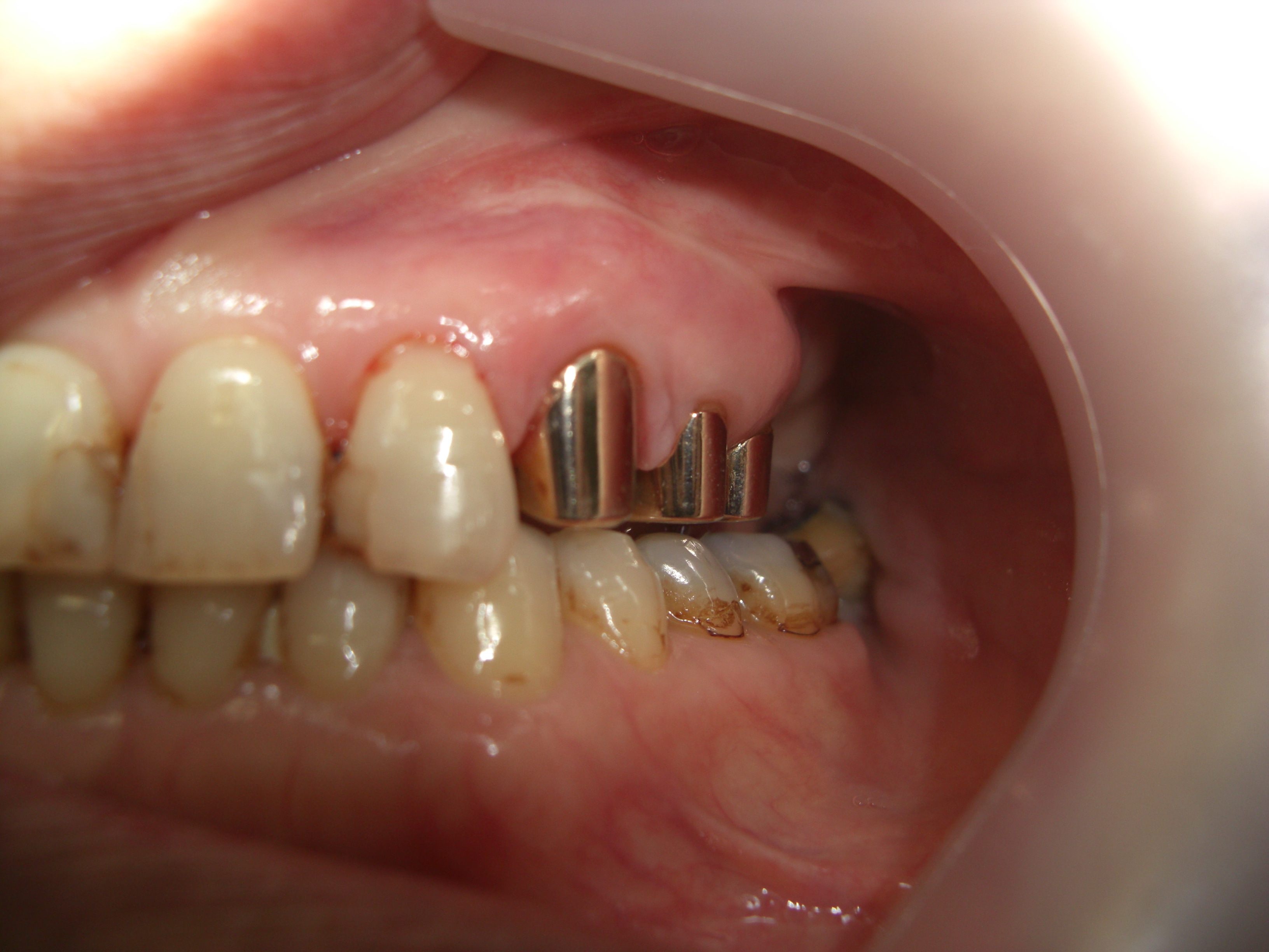
コーヌス義歯の外した口腔内

コーヌス義歯

口腔内の義歯を外した側方面観

口腔内の義歯を入れた側方面観
治療前

治療後

| 患者さまの主訴 | 左上6,7が歯周病によって抜歯。 大臼歯が無いと噛めないので、なんとかしたいが 心臓に疾患があるため、インプラントはしたくない。 何か別の方法で、しっかり噛めるようにできないか? |
|---|---|
| 治療内容 | 通常は可撤式の保険でできる入れ歯を とりあえず作ってみるが、やはり天然歯に比べて 異物感が大きいのと、あまり噛み切れない。 普通の入れ歯は(着脱を繰り返すため) 多少の遊びがあるため、天然歯のようには噛めない。 そこで、遊びのほとんど無い コーヌス・テレスコープ義歯によって 大臼歯を補綴することを提案。 |
| 患者さまの年齢 | 治療当時は平成12年で58歳。 令和6年現在 81歳。
|
| 患者さまの性別 | 女性 |
| 治療期間 | 2か月半 |
| 治療にかかった総額 | 内冠+外冠 132000円×3本 片側金属床 110000円 トータル 506000円(税込み)
|
| 治療する際に起こる メリット |
普通の保険の入れ歯と比べて、遊びがほとんど 無いため、しっかりと入れば凄く咬みやすい 義歯ができる。 |
| 治療のリスク | 支台となる歯を選び、金冠を被せるため 場合によっては、他の天然歯を大きく削る 必要がある。 内冠、外冠を同時に作成し、適合を図るため 万が一、義歯を失くしてしまった場合は 再作成がとても難しい事。 保険の入れ歯に比べて高価である事。 |
| 術後の経過・現在のご様子 | 左上3,4,5番を支台として、 6,7番を人工歯で繋げる設計にした。 5番は当時、動揺が見られていたが 義歯が入る都と固定がなされるため 25年以上、しっかりともっている。 最初は、しっかりと噛めるけれども 着脱に苦労されていた。 今でもずっと噛んでいると、義歯が外れないことが あり、こちらで外すこともある。 しかし、保険の義歯とはまるで違う噛み心地に 概ね満足いただいている。 |
| 歯科医師よりひとこと | コーヌス義歯は、適用を選ぶことと 術者の設計や経験が必要なため 誰しもができる入れ歯ではありません。 ただ、この方の場合は部分入れ歯なのに 25年以上、使っていただいており 通常の部分入れ歯ならばその年数は考えられません。 25年前の新製した時の義歯の画像が無いので だいぶ汚れた義歯の写真になっていますが、 これはもう完全に患者さんの身体の一部に なっているという証拠でもあります。 色々な事情でインプラントができない方の場合は こういう「しっかりと噛める入れ歯」を お勧めする場合もあります。 メリット、デメリットをよく理解していただいてから 治療に入りますので、ご相談ください。 |