毎日、何かしら「気づき」があります。


こんにちは。
目白バイオインプラントセンター・田中歯科クリニック
の田中宏和です。
23年間、歯科医をしておりますが
毎日のように新たに勉強になることや
何かしらの「気づき」があります。
こういうのは歯科の教科書にはまず書いてありません
からね。。(^^♪
何気ない患者さんとの会話の中で気づいた
それの嬉しいひとつをご紹介しますね~

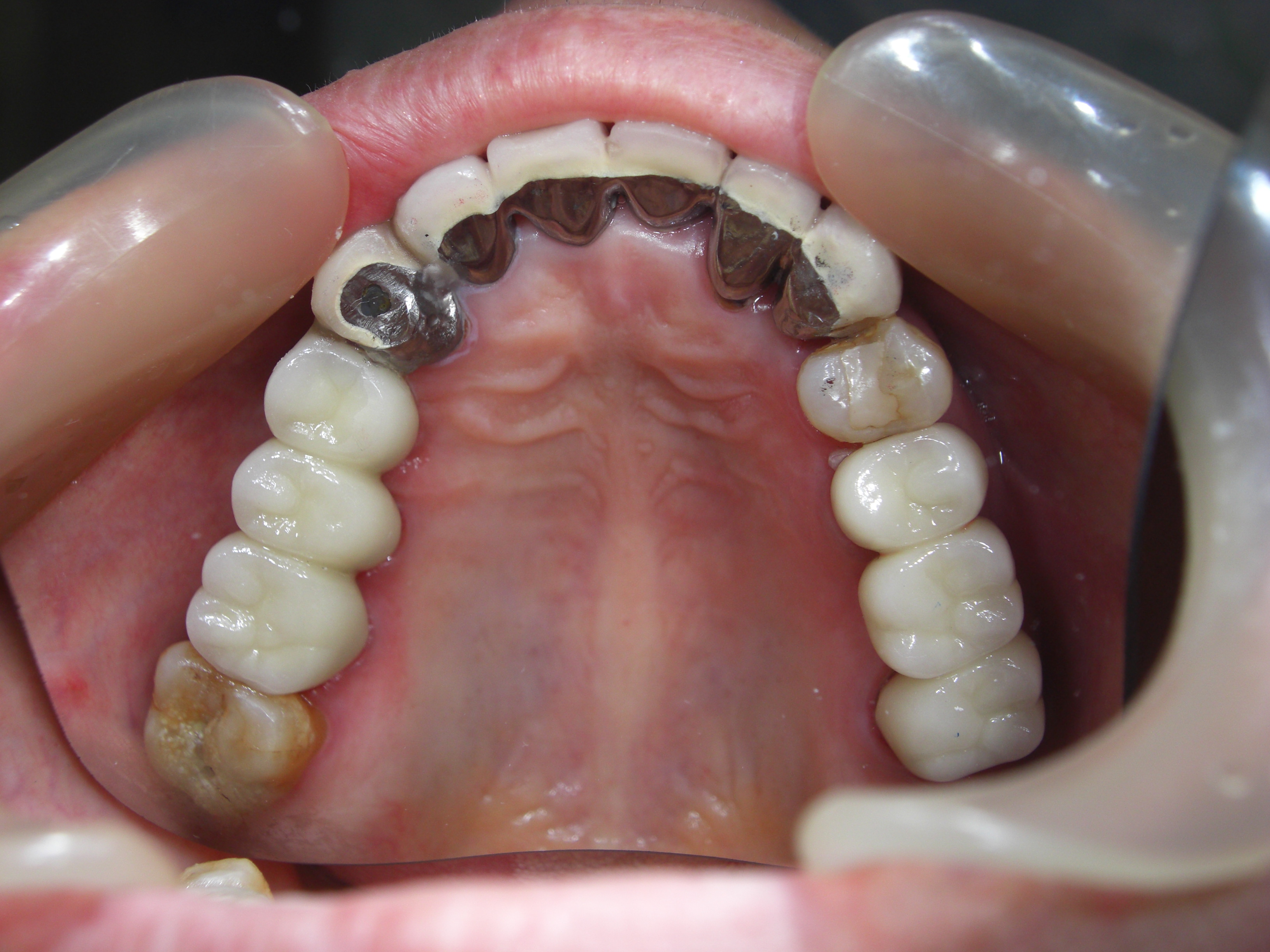
「入れ歯から卒業」されたKさんの術前
(入れ歯を外した状態、入れた状態)
術後(インプラントが完成した状態)です。
他院にて作成された入れ歯はとてもよくできており、
Kさんも特に問題なしと言われていたので、
ウチに転院されてからも数年間は定期健診だけを
行なっておりました。
当院でインプラントをされた方からお話を聞いたそうで、
より良い噛み心地を求めてついにご自分も
インプラントをされる決心をなさいました。
「入れ歯からの卒業」によってもちろん歯が
完成した時にも喜んでいただいたのですが
今日はそれから6ヶ月経過して検診の時に・・・
「娘がホットドッグをいつも家族に作るのだが、
今までは食べられないからと遠慮していた、
この間は私にもちょうだい!と言ってもらったら
美味しく食べられたの!」
「お友達とお食事をするのに、Kさんはこれはダメね
(固いから食べられないわね)、
と言われていたんだけれど
もう入れ歯じゃないから大丈夫なのよ!
とお皿を取り戻したわ。(笑)」
「違うお友達とお食事をしていて、
今日は途中で席を立たないのね?といわれたの♪」
「そういえば入れ歯の時はどうしても間に
挟まってしまうので途中で1回は失礼して化粧室
に行っていたのね。。これは言われて気づいたのよ。。」
なるほど。。
私自身も入れ歯を入れた経験があり、
その不自由さやインプラントの素晴らしさは熟知していた
つもりだったのですが、その期間はおよそ半年ぐらい。。
10数年、入れ歯だったKさんのこういった状況は
ご本人はもちろん、周りの人たちも
そういうものだとずっと思われていたワケですよね。
さらに歯を作った当初は、まだご本人にとって
異物だったものが、すっかり身体の一部となって
機能してくれているという事ですね。
23年歯科医をやっておりますが、こうして
まだまだ患者さんから勉強させていただくこと
は多いですね。。
そしてこういうお話を聞けるのは歯科医にとって
1番嬉しい瞬間と気づきなのでした。。(^^♪