インプラントは30年しっかり機能してます!
こんにちは。
目白バイオインプラントセンター・
田中歯科クリニックの田中宏和です。
インプラントが実際に30年経過しても
ビクともせずにしっかり口腔内で機能している
ケースをご紹介します。
いつものように症例形式ではなく、
患者さんとの長いお付き合いの経過も
書きたいのでブログ形式にします。(^^♪
Nさんとは、私が歯科医師になって
初めて勤務した日本橋のO歯科医院からの
お付き合いになります。
私が歯科医になったのが24歳で
O歯科医院は担当医制だったので2年目の
年からNさんを担当させていただきました。
当時40歳だったNさんは、歯の状態が
悪く、歯周病と噛む力が強すぎるのか
次々と歯がぐらぐらし始めて、
最初はむし歯や通常の歯周治療を行って
いたのですが、欠損部をブリッジにしたところが
10年も経過するとダメになってしまうことに
気付かれて、インプラントを行うことに
なりました。
数本のインプラントを入れて、メインテナンスを
行っていたのですが、7年半経ち
私が目白のこの地で開業することになり
Nさんの担当を院長であるO先生に引き継いで
Nさんとは1度 お別れすることに
なりました。
しかし1年くらい経過した後に
O先生が体調を崩されて閉院が決まり、
O先生から私のクリニックの場所を聞いてくださり
Nさんと再会出来たときは嬉しかったですね~

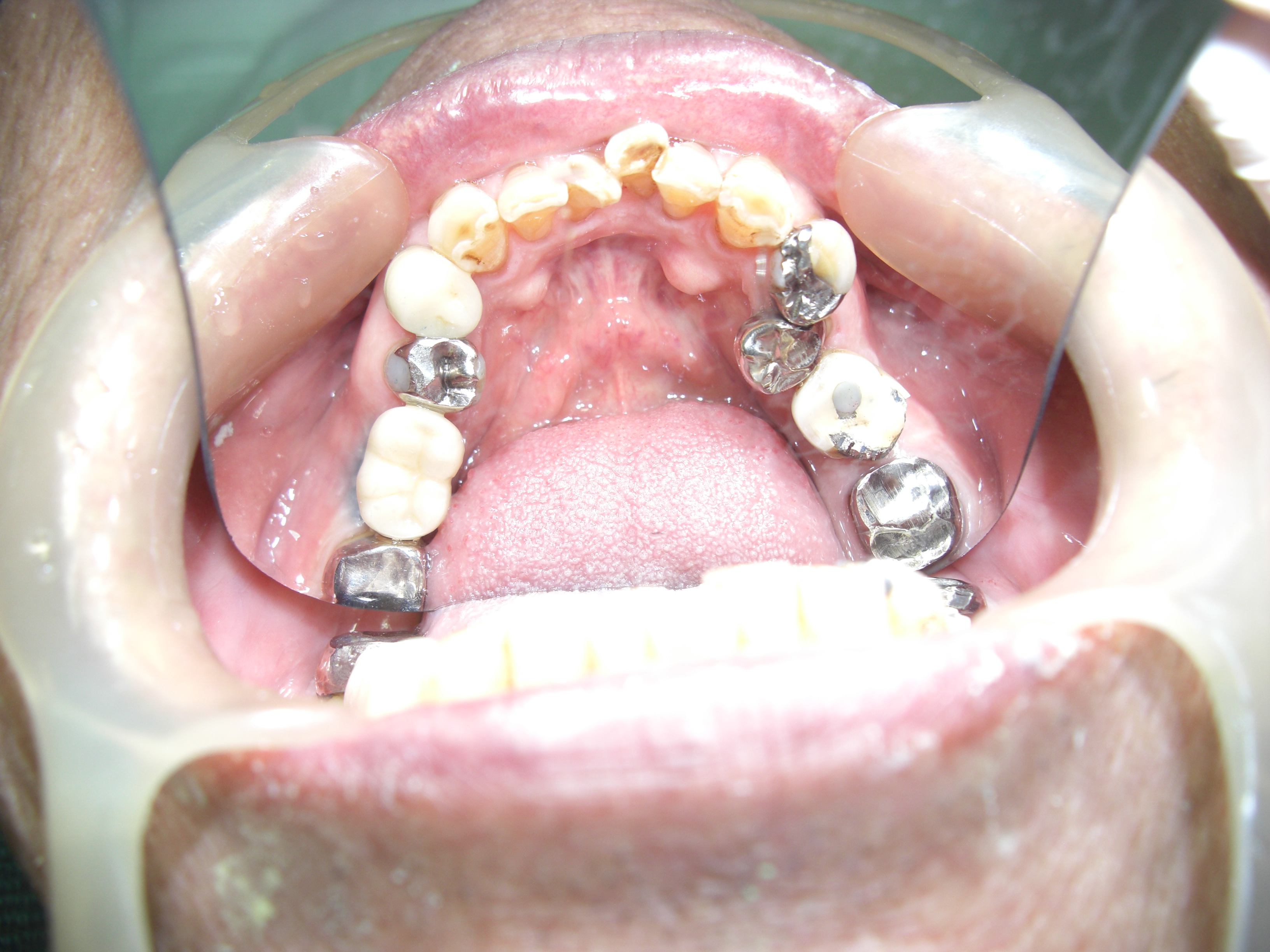
上顎の口腔内

下顎の口腔内

当院に初めて来院された時のレントゲン

現在のパノラマレントゲン
以来ずっとNさんは定期的に当院に
通っていただいています。
5本新たにインプラントを追加しましたが
30年前にO歯科医院で行ったインプラントも
問題なくしっかりと使えています。
もちろんご自身でもしっかりとブラッシングして
メインテナンスも怠らないNさんの努力が
あってこそですが。。
もう70歳を超えられたNさんですが、
背筋もしっかりと伸びて若々しく
「初めてお会いした時から変わらないですね~」
と、これはお世辞ではなく言わせていただいています。(^^♪
やはりしっかりと噛んで食べられる人は
若く見えますし、いつまでも健康な人が多いです。(^^♪